Wiązka zadań
Rozwój kory mózgowej
Zadanie
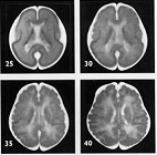
Nowoczesne metody diagnostyki medycznej pozwalają na uzyskanie szczegółowego obrazu narządów wewnętrznych pacjenta. Na ilustracji poniżej przedstawiono obraz mózgu człowieka w 25., 30., 35. i 40 tygodniu życia płodowego. Zdjęcia nie są w tej samej skali.

Czy poniższe stwierdzenia można zweryfikować na podstawie analizy przedstawionych obrazów mózgu?
| Stwierdzenie | Czy można je zweryfikować? | |
| 1. | Objętość puszki mózgowej zasadniczo nie zmienia się między 25. a 40. tygodniem życia płodowego. | `square` Tak/ `square` Nie |
| 2. | Między 25. a 40. tygodniem życia płodowego wzrasta powierzchnia kory mózgowej. | `square` Tak / `square` Nie |
Poprawna odpowiedź
1 - nie
2 - tak
Wymaganie ogólne
3.2 Poszukiwanie, wykorzystanie i tworzenie informacji. Uczeń odczytuje, analizuje, interpretuje i przetwarza informacje tekstowe, graficzne, liczbowe.
Wymaganie szczegółowe
Komentarz
Zadanie sprawdza umiejętności interpretacji informacji przedstawionej w postaci graficznej oraz wnioskowania i krytycznego myślenia. Przetestowano je na absolwentach gimnazjum. Stwierdzenie 1 prawidłowo oceniło 66% badanych, w przypadku stwierdzenia 2 prawidłowa odpowiedź padła w 78% przypadków.
Dla prawidłowej oceny stwierdzenia 1 kluczowa jest informacja podana we wprowadzeniu, mówiąca, że zdjęcia nie są w tej samej skali. Oznacza to, że nie sposób ocenić, w jakim stopniu (ani czy w ogóle) rośnie mózg płodu między 25 a 40 tygodniem życia. Oczywiście zapewne część badanych wiedziała, że między 25 a 40 tygodniem ciąży zachodzi bardzo duży wzrost całego ciała płodu, a zatem i objętość puszki mózgowej rośnie. Nie zmienia to jednak faktu, że w oparciu wyłącznie o przedstawione ilustracje stwierdzenia 1 nie sposób zweryfikować. Przypuszczalnie niektórzy z badanych odpowiadali niepoprawnie, właśnie dlatego, że oceniali poprawność stwierdzenia, a nie jego uzasadnienie w świetle dostarczonych danych.
Można natomiast pozytywnie zweryfikować stwierdzenie 2. Ilustracja dość wyraźnie przedstawia stopniowe przejście od struktury stosunkowo prostej, o dużych gładkich powierzchniach (25.tydzień) do mocno pomarszczonej i wewnętrzne złożonej (40. tydzień). Stwierdzenie 2 jest zatem dość łatwo obronić. Można przypuszczać, że spośród badanych absolwentów, odpowiedzi niepoprawnej udzielili ci, którzy nie wiedzieli, czym jest kora mózgowa lub nie potrafili jej rozpoznać na zdjęciach.
Zadanie nadaje się zarówno na sprawdzian, jak i do omówienia na lekcji poświęconej rozwojowi ludzkiego płodu.
Utwór jest chroniony prawem autorskim. Zasady i warunki korzystania z niego określa Regulamin Serwisu Bazy Dobrych Praktyk.
"Masz uwagi do treści? Uważasz, że zawiera błąd? Napisz na bnd@ibe.edu.pl



